高中生看病搞乌龙,眼睛痒不因粉尘因螨虫
阅读量
·
2017-11-30
中小学教室的前两排是课堂上的 座位,但随着黑板擦的挥舞,这两排座位也是粉尘的重灾区。小黄常年坐在教室前排,自然和粉尘打了多年交道。最近小黄发现眼睛出现的明显发痒,她觉得这肯定与粉尘有关系,周六一大早就直奔厦门眼科中心,让医生清清眼睛上的粉尘。
虽然小黄对自己的“诊断”自信满满,接诊的眼表与角膜病科商旭敏博士却不敢掉以轻心。在裂隙灯下,商博看到的是正常的角结膜,还有右眼一根摇摇欲坠的睫毛。这时小黄喊道:“医生我眼睛痒。”便用手揉搓右眼。商博又问了小黄眼睛有没有疼痛、流泪、异物感等症状后,他的心里有了底,于是让小黄到蠕形螨性睑缘炎门诊做进一步检查。
商旭敏博士介绍:“眼睛发痒是季节性结膜炎的典型症状,但同时还伴有结膜充血、疼痛、流泪、异物感等症状,这些在小黄身上都没有出现,就初步排除了季节性结膜炎的可能。而耷拉的睫毛说明她患有轻微的睑缘炎,正好眼睛发痒也是睑缘炎的临床症状之一,对睑缘炎进行针对性的检查可以更好地帮助我做出诊断。”
检查发现,小黄右眼患有睑缘炎,是她经常揉眼睛的主要原因。然而引起睑缘炎的原因不是她常年接触的粉尘,而是寄生在她眼睛睫毛根部的蠕形螨。

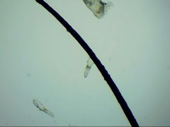
在电子显微镜下可以看到,睫毛根部长有两只蠕形螨的成虫,正是蠕形螨的存在,让小黄得了睑缘炎,并长期受到眼睛发痒的困扰。经过按摩和药物治疗,小黄的睑缘炎症状得到了有效缓解,但要治愈还需要一段时间的药物治疗。
在我们身上,持续性的、轻微的症状其实是身体给我们的信号,正如眼睛发痒是睑缘炎发作的信号,眼睛干涩是干眼症的信号,及时注意到这些信号可以使你提高警惕,疾病的治疗就交给我们专业的医生来。
为了造福蠕形螨性干眼患者,即日起,厦门眼科中心向社会征集10名患有干眼症的成年市民体验蠕形螨性干眼检测及初步治疗。家里有宠物,长期掉睫毛,眼睛分泌物多、眼睛干、痒,眼屎增多,眼睑红肿的成年干眼市民可拨打厦门眼科中心预约咨询热线0592-2112111报名参与,名额有限,约满为止,不接受现场报名。预约成功的市民,每周三可到厦门眼科中心1号楼2楼导诊台领取“蠕形螨性干眼检查治疗券” 。
虽然小黄对自己的“诊断”自信满满,接诊的眼表与角膜病科商旭敏博士却不敢掉以轻心。在裂隙灯下,商博看到的是正常的角结膜,还有右眼一根摇摇欲坠的睫毛。这时小黄喊道:“医生我眼睛痒。”便用手揉搓右眼。商博又问了小黄眼睛有没有疼痛、流泪、异物感等症状后,他的心里有了底,于是让小黄到蠕形螨性睑缘炎门诊做进一步检查。
商旭敏博士介绍:“眼睛发痒是季节性结膜炎的典型症状,但同时还伴有结膜充血、疼痛、流泪、异物感等症状,这些在小黄身上都没有出现,就初步排除了季节性结膜炎的可能。而耷拉的睫毛说明她患有轻微的睑缘炎,正好眼睛发痒也是睑缘炎的临床症状之一,对睑缘炎进行针对性的检查可以更好地帮助我做出诊断。”
检查发现,小黄右眼患有睑缘炎,是她经常揉眼睛的主要原因。然而引起睑缘炎的原因不是她常年接触的粉尘,而是寄生在她眼睛睫毛根部的蠕形螨。

在电子显微镜下可以看到,睫毛根部长有两只蠕形螨的成虫,正是蠕形螨的存在,让小黄得了睑缘炎,并长期受到眼睛发痒的困扰。经过按摩和药物治疗,小黄的睑缘炎症状得到了有效缓解,但要治愈还需要一段时间的药物治疗。
在我们身上,持续性的、轻微的症状其实是身体给我们的信号,正如眼睛发痒是睑缘炎发作的信号,眼睛干涩是干眼症的信号,及时注意到这些信号可以使你提高警惕,疾病的治疗就交给我们专业的医生来。
为了造福蠕形螨性干眼患者,即日起,厦门眼科中心向社会征集10名患有干眼症的成年市民体验蠕形螨性干眼检测及初步治疗。家里有宠物,长期掉睫毛,眼睛分泌物多、眼睛干、痒,眼屎增多,眼睑红肿的成年干眼市民可拨打厦门眼科中心预约咨询热线0592-2112111报名参与,名额有限,约满为止,不接受现场报名。预约成功的市民,每周三可到厦门眼科中心1号楼2楼导诊台领取“蠕形螨性干眼检查治疗券” 。


医院概况
就诊科室
就诊指南


