睫毛掉落是年龄大了还是螨虫来了?
年龄大了是大大小小疾病的主要原因,如白内障、老花就是眼睛老化引起的眼病。那睫毛脱落也是因为年纪大了吗?近日,林先生就因为时不时地掉睫毛而忧心。来到厦门眼科中心蠕形螨性睑缘炎门诊,他才找到问题的答案——是长在睫毛根部的蠕形螨在捣鬼。
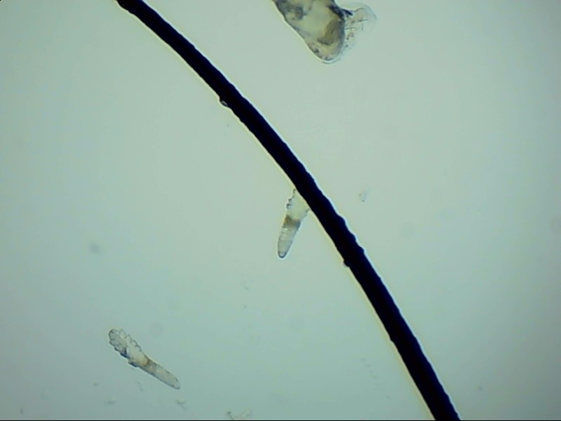
睫毛掉落的元凶——蠕形螨

蠕形螨是一种寄生虫,寄生在人的身上的就有两种:毛囊蠕形螨和皮脂蠕形螨。毛囊蠕形螨寄生于睫毛毛囊,而皮脂蠕形螨则分布于睫毛毛囊的皮脂腺和睑板腺内,说白了这两种寄生虫经常生活在睫毛和眉毛根部,它们生产的卵、排泄物和分泌的分泌物都会引起眼部的过敏反应,并在人体免疫力降低时引起眼部感染。
螨虫引起的眼病——睑缘炎
我们很少听见睑缘炎这种眼病,蠕形螨性睑缘炎这种螨虫引起的眼病就更为少见,但它给患者带来的困扰是货真价实的。
患病后睑缘皮肤、睫毛毛囊及其腺体、睑板腺会引起炎症,表现出的症状除了睫毛掉落,还可能出现眼痒、异物感、眼干、睑缘充血、鳞屑、睫毛根部袖套状分泌物等多种表现,病情严重时还可并发结膜及角膜病变。
在几乎每一位睑缘炎患者背后都出现了蠕形螨的身影,据报道,睑缘炎患者中蠕形螨的检出率达23.8%~90%,驱除、消灭螨虫成为治疗睑缘炎最有效的方法。
对抗螨虫,全面出击
螨虫的治疗建立在发现螨虫的基础上,光学显微镜就成为医生的“眼睛”。蠕形螨性睑缘炎门诊配备有光学显微镜镜检、活体激光共聚焦显微镜检查等高新设备可作出精准诊断。并有多种治疗手段全方面驱逐、杀死螨虫。
1. 局部物理治疗。包括睑缘清洁、睑板腺热敷及按摩等方式;
2. 局部用药治疗。茶树油、甲硝唑眼膏等可有效杀除螨虫;
3. 强脉冲激光。强脉冲激光可有效杀灭螨虫。
合并有角结膜病变的患者需要接受相应对症治疗。伴有系统性免疫功能低下、合并严重酒糟鼻、红斑痤疮、脂溢性皮炎等,且眼局部治疗效果不佳的患者可以通过全身药物、抗炎药物得到治疗。


医院概况
就诊科室
就诊指南

