洗澡后发现掉睫毛是怎么回事?
下班回家后,用热水澡洗去身上的疲乏是我们一天中最美好的享受,但是在浴巾上发现睫毛可不是什么好事。近日林小姐身上就发生了这么一件可怕的事。她在洗澡后发现浴巾上发现掉落了几根睫毛,为判断睫毛是自然掉落还是和疾病有关,林小姐在镜子前试着拔了拔睫毛,发现睫毛很容易就掉落,而且只有轻微的痛感。情急之下,她在第二天一早就到厦门眼科中心寻求医生的帮助。
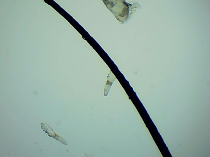
在新成立的蠕形螨性睑缘炎门诊,张丽颖博士取下了林小姐的眼睫毛,在光学显微镜下,林小姐看到了这一幕。

自己的睫毛上有螨虫?林小姐感到不可思议。虽然每天下班后都很累,但还是会做基本的打扫,周末更是会把屋子好好清洁一遍,做到了这样的清洁还是会长螨虫让林小姐无法接受。“虽然家里打扫干净了,但是环境不是感染螨虫的 途径,人与人的接触、与污染物品直接或间接接触都会感染上螨虫。”经过张丽颖博士的解释,林小姐重拾打扫的动力。
张丽颖博士介绍:“螨虫是常见的人体外寄生虫,在眼部,它们生活在睫毛和眉毛根部,身体的免疫力下降后,它们的活动就会引起睑缘感染、发炎,并出现睫毛掉落的现象。”
经过治疗,林小姐睑缘处的炎症症状减轻,笑容也回到她的脸上。但驱除螨虫不能一蹴而就,林小姐需要多次到院复查,生活中加强锻炼、提高身体免疫力对抵抗螨虫也有所帮助。
据了解,蠕形螨性睑缘炎门诊准备引进最新的治疗方法——强脉冲激光,它可以在更短时间内得到更有效的杀除螨虫的效果。接受治疗后可以获得什么样的效果呢?林小姐十分期待。


医院概况
就诊科室
就诊指南

